|
| HOME |
| RÖNTGEN |
| normal |
| Verletzung |
| Verschleiß |
| Prothese |
| Szinti |
| Kernspin |
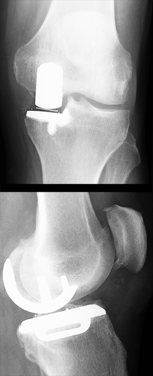
Wenn nur eine Seite des Kniegelenks verschlissen ist – meist ist es dann wie hier die innere – reicht es, nur eine Teilprothese einzusetzen. Der Eingriff ist weniger schwerwiegend als die Implantation einer Totalendoprothese.