|
| HOME |
| RÖNTGEN |
| normal |
| Verletzung |
| Verschleiß |
| Szinti |
| Kernspin |
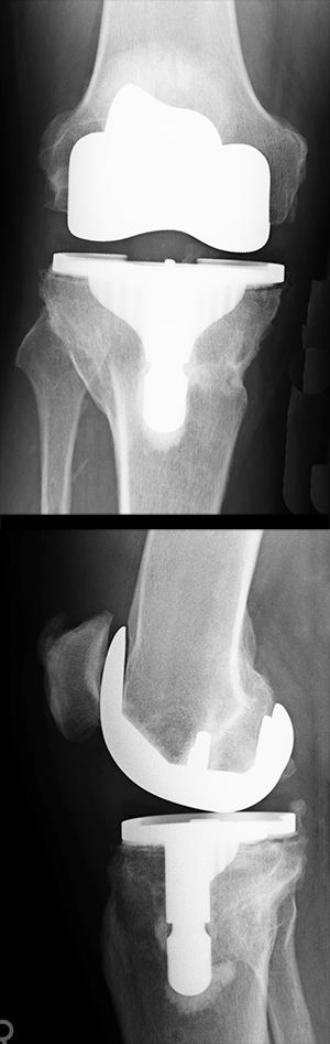
Da die künstlichen Gelenkoberflächen zum Teil aus Metall bestehen, kann man sie sehr gut im Röntgenbild darstellen.
Hier ist eine Totalendoprothese, also ein kompletter Oberflächen-Ersatz des Kniegelenkes zu sehen. Oben Ansicht von vorne, unten von der Seite. Das Bild hier ist in Ordnung. Bei Lockerung der Prothese (sehr ärgerlich!) wäre ein dunkler Saum zwischen Metall und Knochen zu sehen.
Die Szinti zeigt Lockerungen oft früher und eindeutiger als das konventionelle Röntgenbild.
Wer mag, kann sich noch das Röntgenbild einer Teil-Prothese, eines sogenannten Schlittens, ansehen.