|
| HOME |
| RÖNTGEN |
| normal |
| Verletzung |
| Verschleiß |
| Prothese |
| Szinti |
| Kernspin |
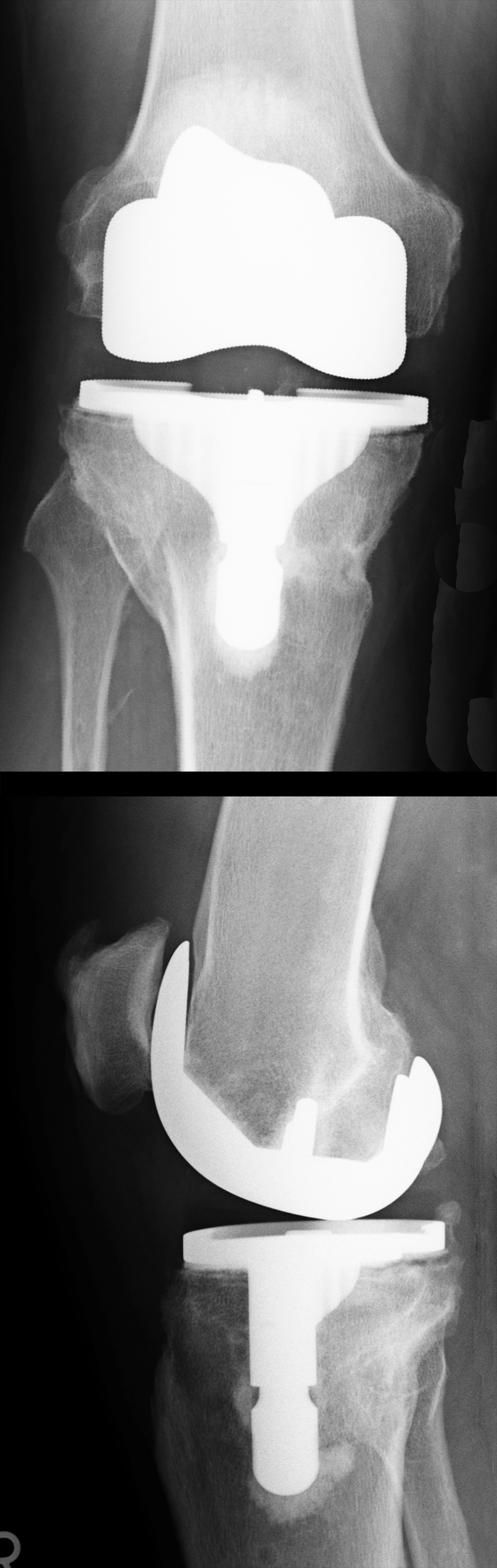
Dem aufmerksamen Beobachter fällt vielleicht auf, dass die Knochenstruktur im Schienbeinkopf im Schaftbereich der Prothese irgendwie merkwürdig ist. Das liegt daran, dass hier der Implantation der Endoprothese eine Umstellungsosteotomie vorausgegangen ist.