|
| HOME |
| RÖNTGEN |
| normal |
| Verschleiß |
| Prothese |
| Szinti |
| Kernspin |
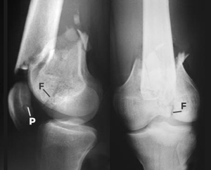
Hier das Röntgenbild einer schweren Knochenverletzung des Kniegelenkes. Der Bruch des Oberschenkelschaftes fällt sofort ins Auge. Weniger offensichtlich sind die Brüche an der Kniescheibe [Patella] (P) und an den Oberschenkelroffen [Femurkondylen] (F). Solche Haarrisse [Fissuren] können leicht übersehen werden.
Die anatomische Rekonstruktion mittels Platte (P), Zugschrauben (ZS) und Zuggurtungsdraht (ZG) ist aufwändig aber unbedingt nötig, da sonst ein frühzeitiger Gelenkverschleiß [posttraumatische Arthrose] resultiert.