HOME
RÖNTGEN
normal
Verletzung
Verschleiß
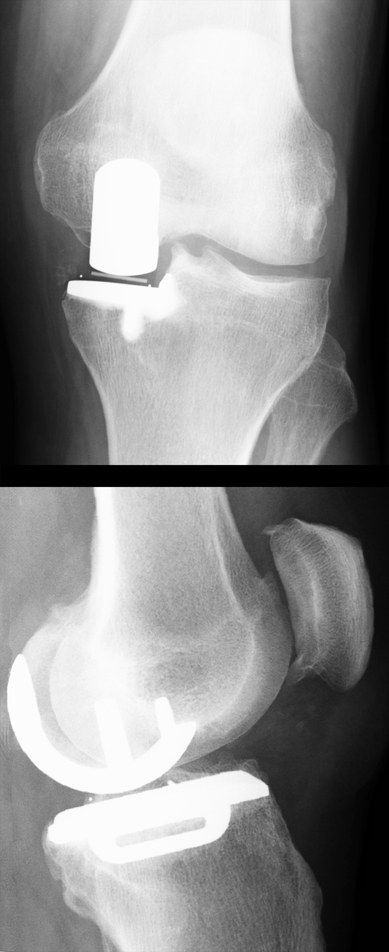
Prothese
Szinti
Kernspin
IMPRESSUM
Schlitten-Endoprothese – groß