HOME
RÖNTGEN
normal
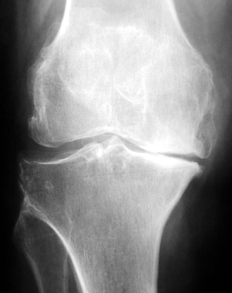
Verschleiß
Prothese
Szinti
Kernspin
IMPRESSUM
RÖNTGEN – verschlissenes Kniegelenk (groß)