IMPRESSUM

ERKRANKUNGEN – Kniescheibe

Knorpelprobleme

Die Kniescheibe ist an ihrer Rückseite, also zum Oberschenkel hin, mit Knorpel überzogen, wie im Längsschnitt gut sichtbar. Nicht selten kommt es zu Problemen im Sinne der Erweichung dieses Knorpels [Chondropathia patellae].

Das Knie schmerzt dann im vorderen Anteil, insbesondere bei erhöhtem Anpressdruck gegen den Oberschenkel etwa beim Treppensteigen, bergab Laufen, arbeiten in der Hocke. Provozieren lässt sich der Schmerz, wenn die Kniescheibe von Hand unter Druck in ihrem Gleitlager hin und her geschoben wird.

Häufig beruht dieses Problem auf ungünstigen Krafteinwirkungen auf die Kniescheibe, etwa wenn sie in ihrer Form nicht ideal ausgebildet ist. In Skizze 1 wird das deutlich: Der innere Anteil (im Bild hellgrau angedeutet) fehlt [Patella-Dysplasie], die Passform zum Gleitlager des Oberschenkels ist mangelhaft, die Kniescheibe steht zu weit außen [ist lateralisiert]. Folge ist, dass die einwirkenden Druckkräfte (durch die roten Pfeile angedeutet) ungleichmäßig sind und somit ungünstige Scherkräfte resultieren.

Plica-Syndrom

Gelegentlich wird ein ähnliches Krankheitsbild durch ein Plica-Syndrom hervorgerufen. Diese [plica mediopatellaris] ist eine Schleimhautfalte, die zwischen innerer Oberschenkelrolle [condylus medialis] und der Kniescheibe entlangzieht. Diese Falte ist individuell unterschiedlich stark ausgebildet und kann sehr fest und derb werden. Dann macht sie gelegentlich Probleme (Druckschmerz innerer Kniescheibenrand, Verschiebe- und Andruckschmerz der Kniescheibe). Meist kann man mit Schonung, Salben, Physiotherapie behandeln. Selten ist die Durchtrennung oder Entfernung der Plica notwendig. Mittels Kniespiegelung ist das sehr einfach und problemlos zu machen.

Probleme mit der Kniescheibensehne

Am unteren Pol der Kniescheibe setzt die Kniescheibensehne [ligamentum patellae] an und zieht zu einem Knochenvorsprung am Schienbein [tuberositas tibiae] (Darstellung auf der Seite Anatomie-Längsschnitt). Über diese Sehne wird das Knie gestreckt. Entsprechend ist die Belastung beim Sport. Bei Überbelastung kann es zu einer Entzündung des Sehnenansatzes an der Kniescheibe [Patellaspitzensyndrom] kommen. Auf die Ursache dieser Erkrankung weist deren Bezeichnung auf Neu-Latein hin: jumper's knee. Dem entsprechend ist zu behandeln: In erster Linie Schonung, bei Bedarf entzündungshemmende Medikamente. Ein Kunstfehler ist es, in den Sehnenansatz Kortison zu spritzen. Das kann zum Riss [ruptur] führen - der sportlichen Karriere nicht förderlich!

Kniescheiben-Verrenkung

Gelegentlich ist die anlagebedingte Fehlform der Kniescheibe derartig schwerwiegend, dass es zur Verrenkung der Kniescheibe [Patella-Luxation] nach außen kommt. Das ist ein schwerwiegendes Problem, da hierbei die Scherkräfte derartig groß werden können, dass sich ein Teil der Kniescheibe ablöst, wie in Skizze 2 zu sehen.


Therapie

Ziel der Behandlung der oben genannten Probleme ist es, die Krafteinleitung zu verbessern. Da die Kniescheibe immer nach außen tendiert, ist eine krankengymnastische Aufschulung der dem entgegenwirkenden Muskulatur sinnvoll. Hierbei handelt es sich um die inneren Kniestrecker, also im Wesentlichen den Musculus vastus medialis. Eine entsprechende Kniebandage kann das unterstützen.


Kommt es allerdings zu wiederholten Verrenkungen der Kniescheibe, so ist ein operativer Eingriff zu erwägen, um bleibenden Schäden vorzubeugen. Eine mögliche Operationsmethode ist unter 3 skizziert: Der Ansatz der Kniescheibensehne [Tuberositas tibiae] wird nach innen versetzt (roter Pfeil). Hierdurch resultiert eine Verlagerung der gesamten Kniescheibe nach innen, was ja gewünscht wird. Bei der Gelegenheit kann man den Sehnenansatz auch etwas nach unten [distal] verschieben: Bei diesen Patienten steht die Kniescheibe oft auch zu hoch [patella alta].

Es gibt auch Weichteil-Operationen, zum Beispiel die Lösung der Kapsel, die von außen an der Kniescheibe ansetzt [lateral release], und / oder die Raffung der Kapsel innen.


(Osgood)-Schlattersche Erkrankung

Gelegentlich kommt es zu einer Verknöcherungsstörung am Ansatz der Kniescheibensehne am Unterschenkel [Tuberositas tibiae], im Gegensatz zur Osteochondrosis dissecans also genau genommen außerhalb des Kniegelenkes. Bevorzugt sind Jungen im Alter zwischen 10 und 16 betroffen. Die Erkrankung ist im Röntgenbild eindeutig zu erkennen: Es handelt sich um eine Knocheninsel (1) vor dem Schienbein. Die dunklen Linien (2) im Oberschenkel, im Scheinbeinkopf und am Wadenbein sind Wachstumsfugen. Sie zeigen an, dass das Wachstum noch nicht abgeschlossen ist, sind also im Bild eines erwachsenen Kniegelenks nicht zu sehen.

Auch ohne Röntgen ist das Erscheinungsbild meist eindeutig: ein harter Knochenvorsprung am Sehnenansatz, der schmerzt, wenn man darauf kniet aber auch beim Sport (Springen).

Therapie

Schonung, eventuell Salben. Operation nur bei starken Beschwerden und erst nach Abschluss des Wachstums (Gefahr der Wachstumsstörung!)

Schleimbeutelentzündung [Bursitis]

Eigentlich gehört der Schleimbeutel vor der Kniescheibe [Bursa praepatellaris] nicht zur Kniescheibe selbst, wie im Längsschnitt zu sehen, eigentlich gar nicht zum Kniegelenk, sondern liegt außerhalb. Bei langem Knien, gelegentlich auch durch Prellungen kann es zu einer Entzündung [Bursitis praepatellaris] kommen. Dann füllt sich der Schleimbeutel mit Erguss und ist vor der Kniescheibe als weiche Struktur tastbar. Wenn er auch noch rot und heiß ist, so ist das sehr verdächtig auf eine Infektion durch Bakterien. Gelegentlich ist nicht der Schleimbeutel direkt vor der Kniescheibe betroffen, sondern der unterhalb hiervon [Bursitis infrapatellaris].

Therapie

Natürlich sollte direkter Druck vermieden werden. Zusätzlich können entzündungshemmende Medikamente zur in Form von Salben oder von Tabletten (2. Wahl) zur Anwendung kommen.Wenn allerdings eine Infektion durch Bakterien vorliegt, muss man meistens operieren, nicht selten sogar den Schleimbeutel entfernen.

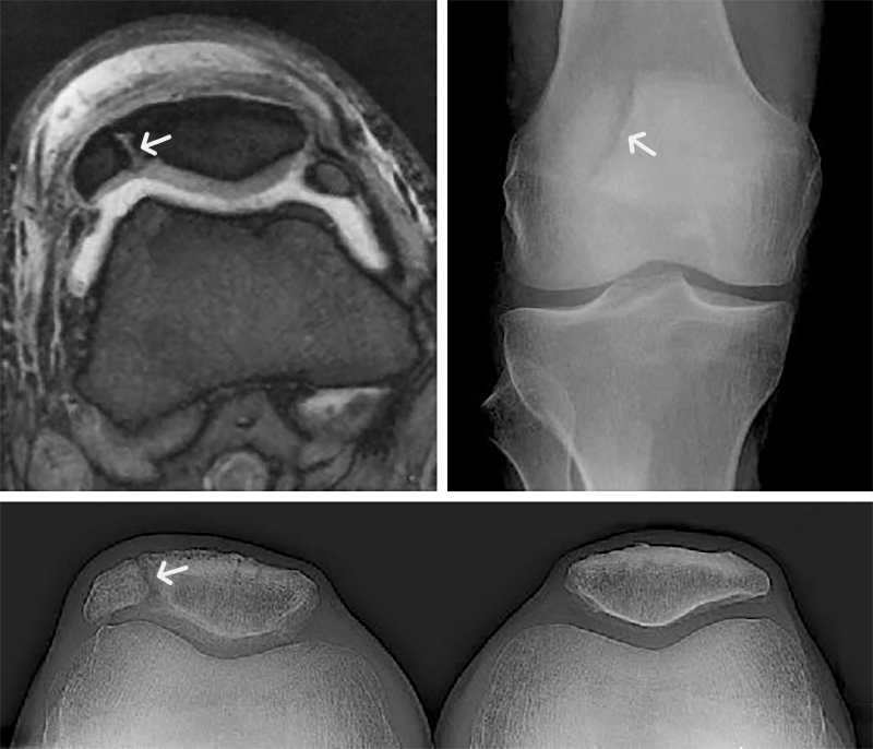
Patella bipartita

Gelegentlich findet man im Röntgen oder Kernspin (oben links) schlimme Brüche [Frakturen] der Kniescheibe, die gar keine sind. Es handelt sich um eine harmlose Verknöcherungsstörung, die zweigeteilte Kniescheibe [patella bipartita]. Das abgelöste Teilstück [Fragment] liegt meist oben außen.

Therapie

In aller Regel ist eine Behandlung nicht erforderlich. In ganz seltenen Fällen ist es erforderlich, das nicht vereinigte Teilstück zu entfernen. (Ich habe das noch nie für nötig gehalten!)